Family and    Cosmetic Dentistry

 

Call: (586) 323-7201

A BEAUTIFUL SMILE IS THE ULTIMATE ACCESSORY

 

Dentist & Cosmetic Dental Services from new patient exams, dental x-rays, clear braces and teeth whitening, to lumineers, veneers, dentures, crowns and oral surgery. Serving Rochester and Rochester Hills, MI., Troy, Utica, Shelby Twp., Sterling Heights MI., and all other surrounding Oakland & Macomb County communities in Northern Detroit Michigan suburbs.

Home Dental Services Customer Reviews Smile Gallery New Patients About Us Contact Us

Smile Shapers Dentist Office  |  44627 Mound Road  |  Sterling Hts, Michigan

 

 

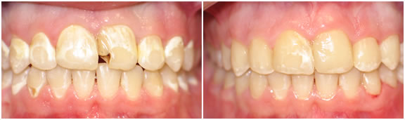
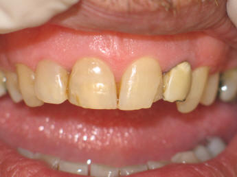
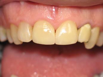
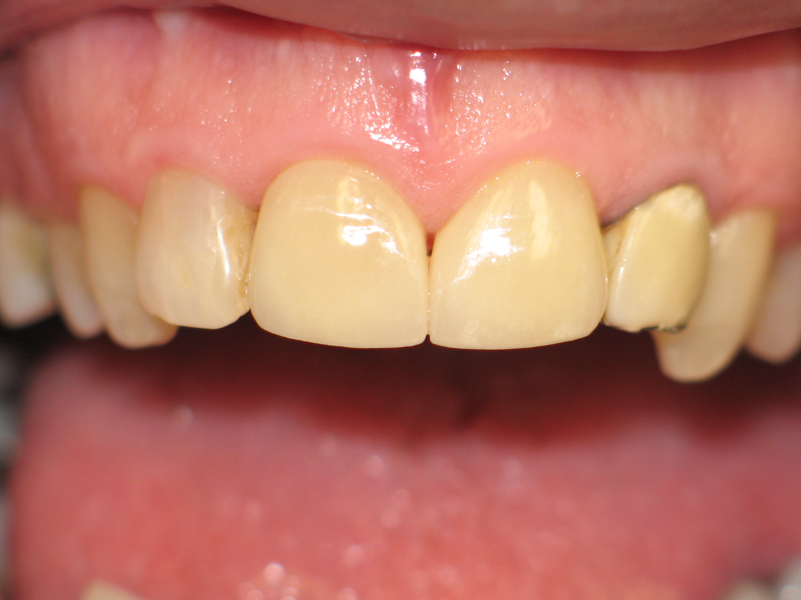
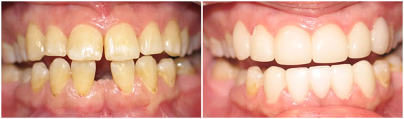
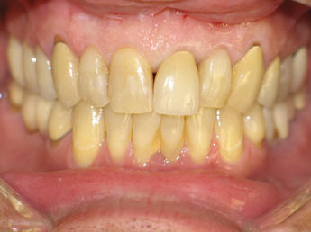
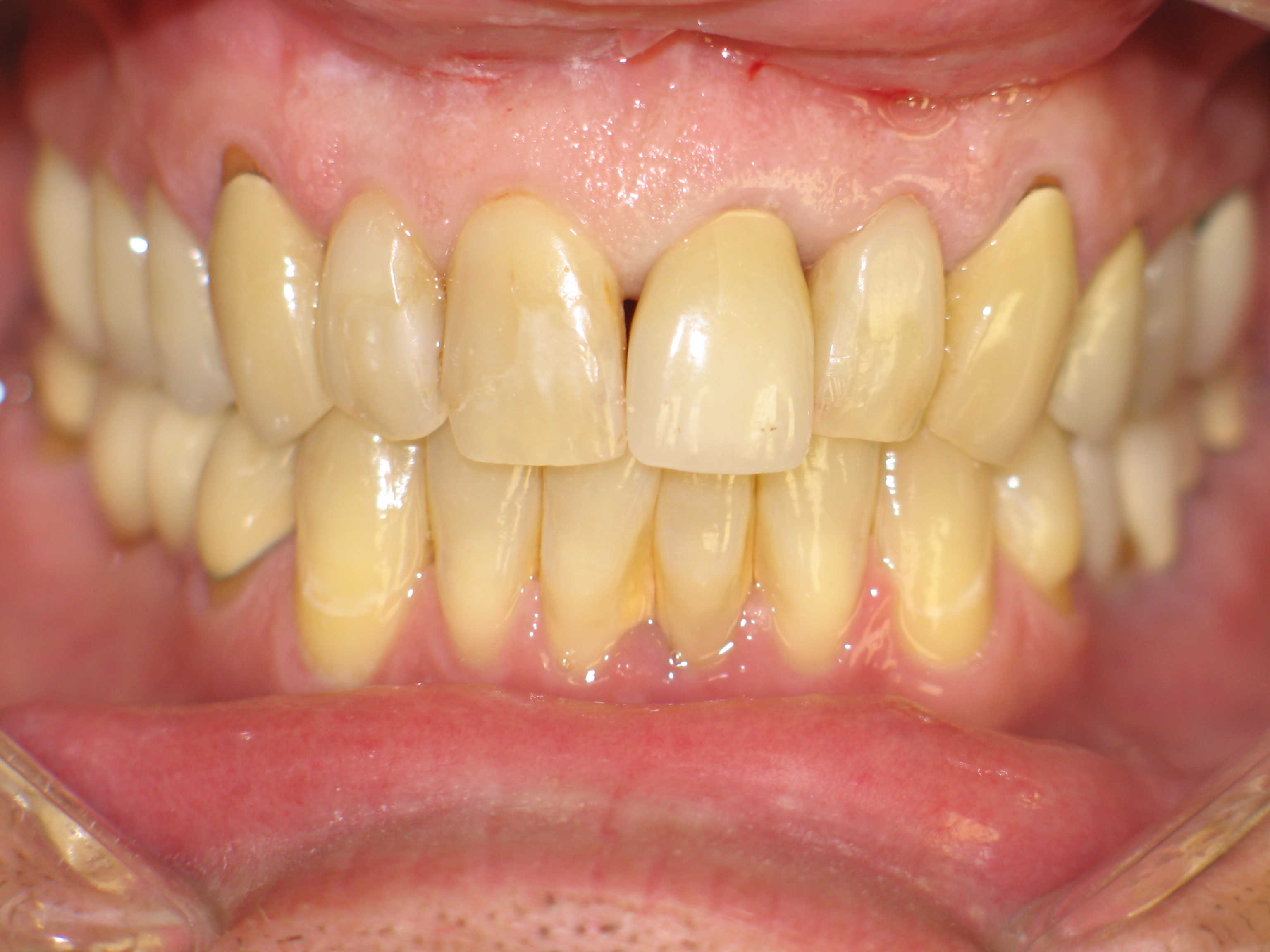
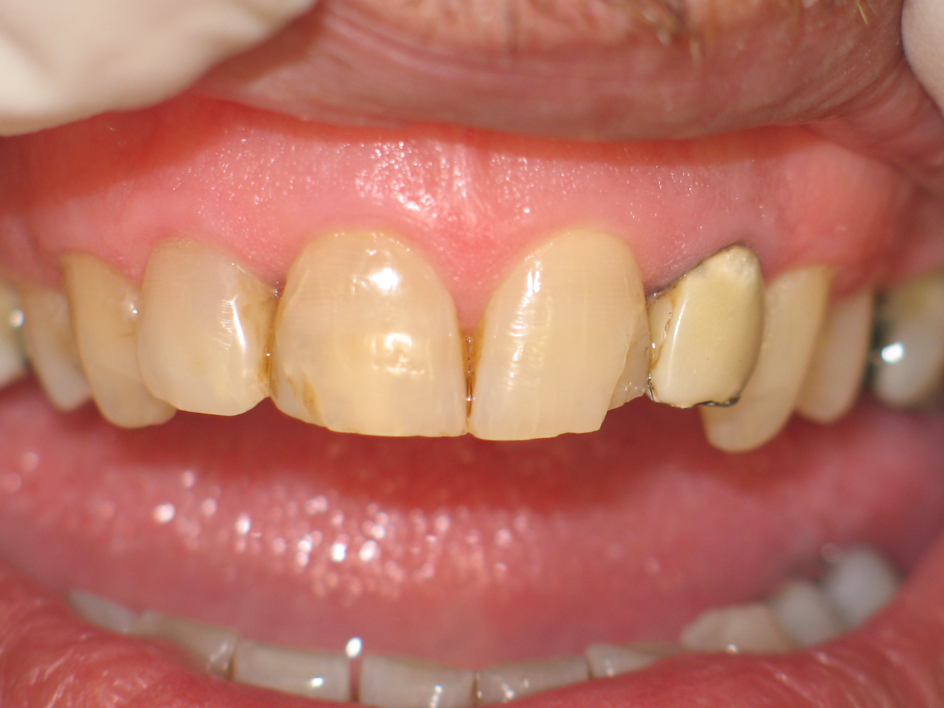
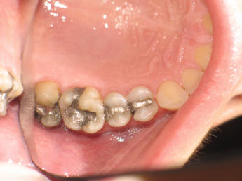
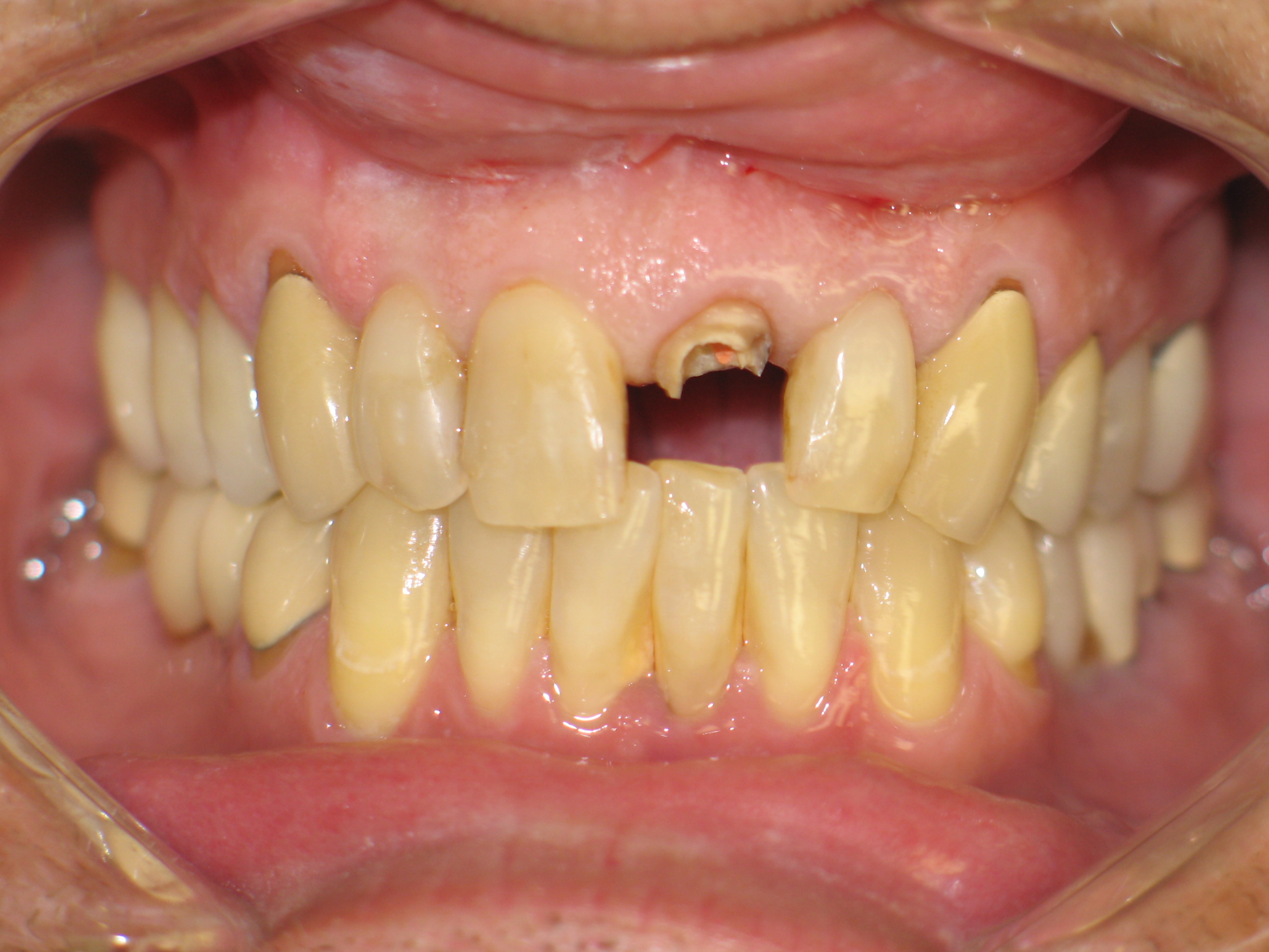
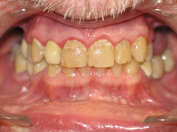
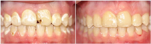
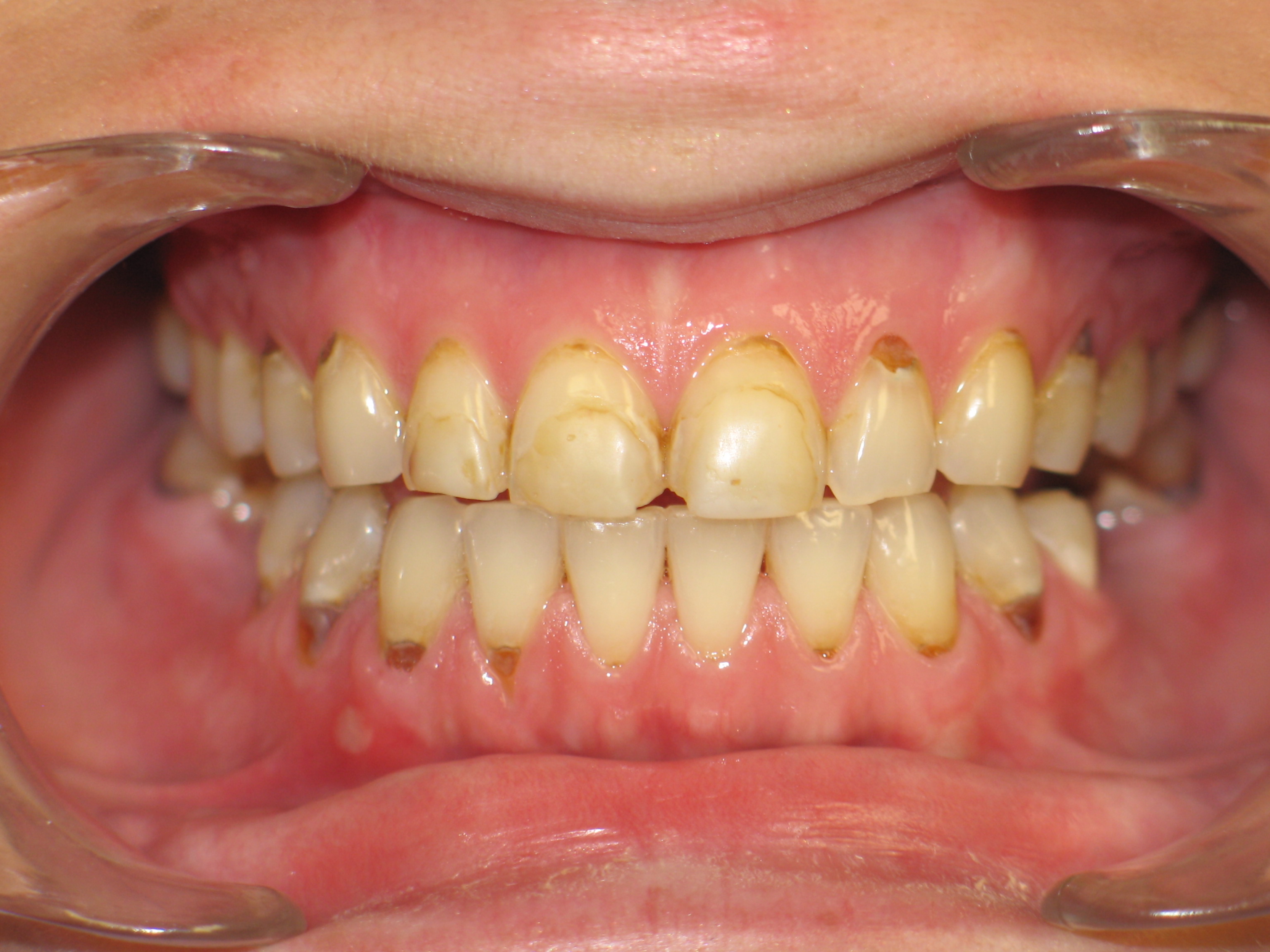
Smile Gallery

 

 

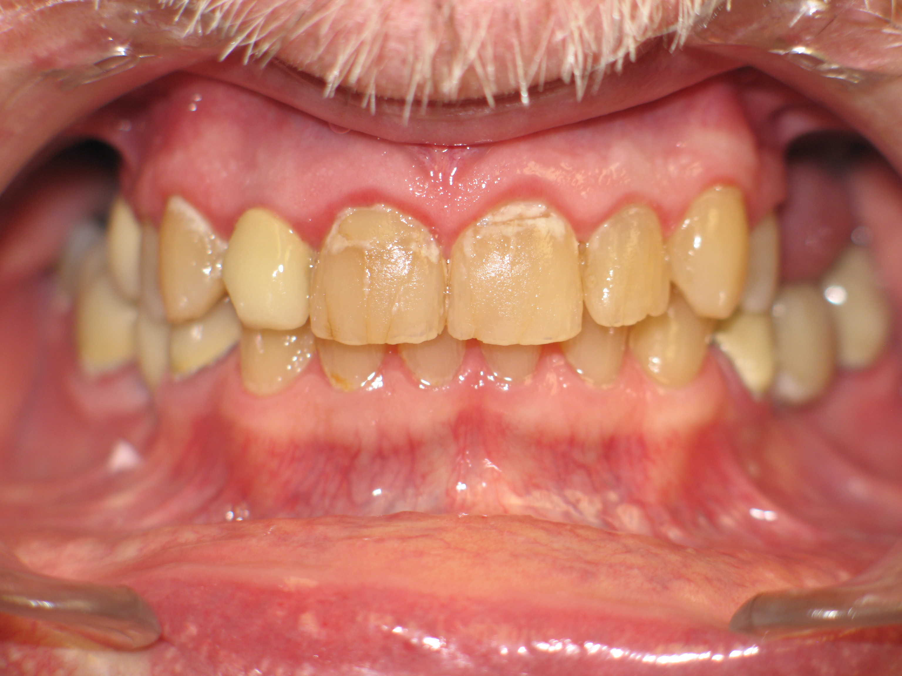
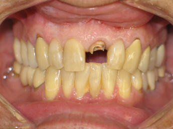
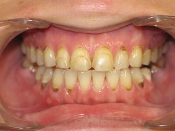
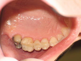
BEFORE AFTER

 

 

 

Dental Office Hours:
Monday 9:00am - 6:00pm
Tuesday 10:00am - 7:00pm
Wednesday 9:00am - 6:00pm
Thursday 10:00am - 7:00pm
Friday

by appointment only

 

Low Monthly Payments

 

 

 

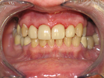
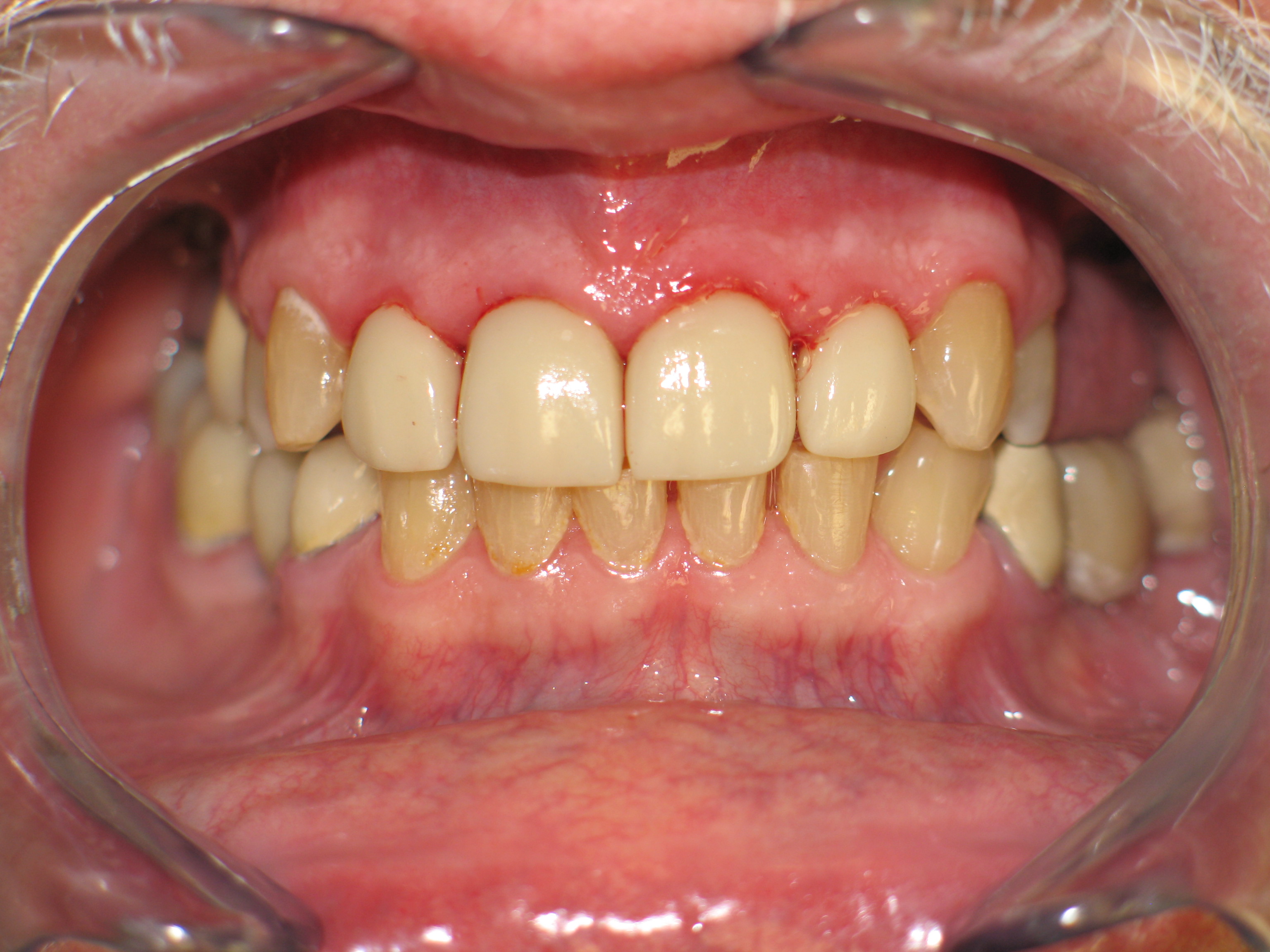
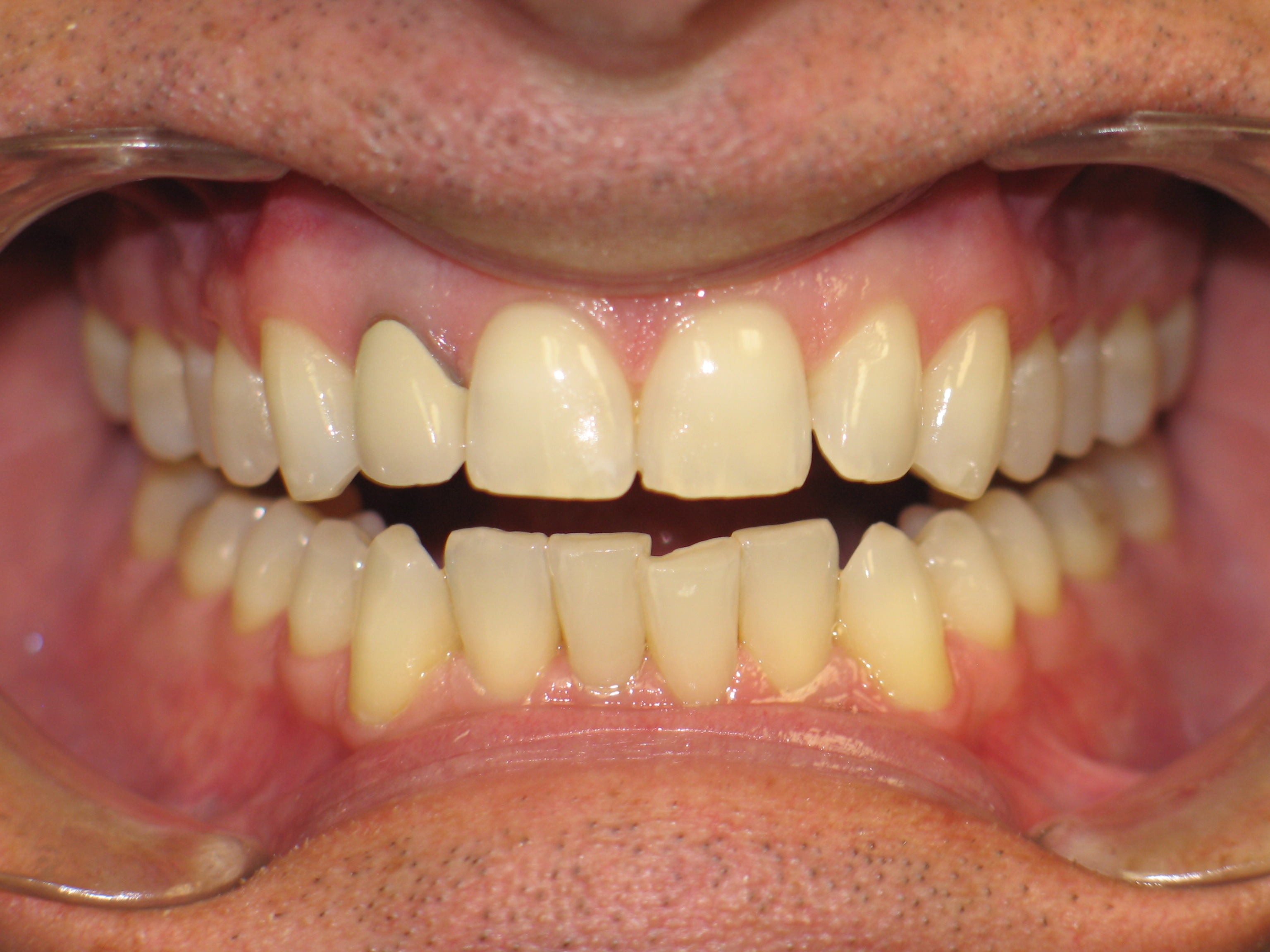
BEFORE   |    AFTER

 

BEFORE   |    AFTER

 

 

 

 

 

 

 

 

A BEAUTIFUL SMILE IS THE ULTIMATE ACCESSORY


 

Website designed and managed by Createns Web Marketing LLC